Intervention of the Month |
|
| A Case of Incidentally Found Huge Floating Thrombus within Aortic Arch in A Patient with Old Myocardial Infarction |
Hyun Ju Yoon, MD, Keun Ho Park, MD, Doo Sun Sim, MD, Young Joon Hong, MD, PhD, Ju Han Kim, MD, PhD, Youngkeun Ahn, MD, PhD, FACC, FSCAI and Myung Ho Jeong, MD, PhD, FACC, FAHA, FESC, FSCAI
The Heart Center of Chonnam National University Hospital, Gwangju, Korea
|
|
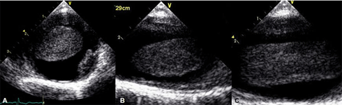
A 65 year-old man was visited out patient clinic for regular check up. Although he had a history of percutaneous coronary intervention due to old myocardial infarction 16 years ago, he had no experience of angina or other cardiovascular symptom for follow-up duration. He was a ten pack-year ex-smoker, his lipid profile was poorly controlled. The resting electrocardiogram disclosed normal sinus rhythm without any pathologic findings. The transthoracic echocardiographic examination (TTE) showed preserved systolic function and no valvular abnormality despite of old posterior wall hypokinesia. In the routine view of suprasternal notch, we found a mass-like lesion and abnormal eccentric jet in aortic arch. Subsequently, a transesophageal echocardiography (TEE) was performed for evaluation of the thoracic aorta, revealing a 3 x10 cm sized hypermobile pedunculated cylindrical mass in the aortic arch (Fig. 1). Its margin was smooth, internal contour was homogeneous comparatively. It appeared to attach to the posterior wall of the proximal aortic arch and to extend into the left subclavian artery and the descending aorta. Computer tomography confirmed the presence of the mass seen in TEE (Fig. 2). The entire thoracic aorta had normal dimensions with some visible atheromatous plaques.
He had no subjective symptom suggesting distal emboli during follow up 16 years. We couldn't find any physical sign which suggest systemic emboli. There was no evidence of trauma or coagulopathies. But, he had not taken aspirin and clopidogrel due to gastrointestinal trouble. Because of the high risk for peripheral embolization due to the size and the mobility, we performed urgent surgical excision of the mass. Organized red parietal thrombus did not show evidence of malignancy on histopathologic examination (Fig. 3). The postoperative course was uneventful and the patient was discharged 10 days after the surgery. Post operative TTE showed an intact contour wall in the aortic arch.
Aortic thrombi can occur anywhere in the aorta and are important causes of distal embolization. Formation of friable floating thrombus, especially in the aortic arch, creates a life-threatening risk of stroke, as well as peripheral embolization. Many factors, such as atherosclerosis, dissection, trauma, malignancy, and coagulopathies, have been associated with aortic mural thrombi. Aortitis is a possible cause of aortic thrombus. Because a floating and friable thrombus carries unacceptable risk of partial lysis and distal embolization, surgical excision has an indication for large floating thrombi.
|
 |
¡ã Figure 1. Transesophageal echocardiographic cross-sectional (A) and longitudinal (B, C) images show a long, floating thrombus in the aortic arch. The adjacent aortic wall was thickened with diffuse atherosclerosis and focal calcified plaque.
|
 |
¡ã Figure 2. Computed tomographic images shows a huge floating thrombus in the aortic arch.
|
 |
¡ã Figure 3. These are gross finding from operation field (A) and excised specimen from aortic arch (B). Glossy red friable mass was 3 x 11 cm in size.
|
|
| |
À§ÀÇ ÀÌ´ÞÀÇ ÁßÀç¼úÀ» º¸½Å ¼±»ý´ÔµéÀÇ ÀǰßÀ» ¾Æ·¡ÀÇ ÀÇ°ß ¾²±â¿¡ ÀǰßÀ» ³²°Ü ÁֽʽÿÀ. ¼±»ý´ÔµéÀÇ ´Ù¾çÇÑ ÀǰßÀ» ¹Þ½À´Ï´Ù.
|
|
Warning: include(/home/virtual/circulationadmin/new/info/comment_index.php) [function.include]: failed to open stream: No such file or directory in /home/virtual/circulationadmin/new/info/case/200910/case200910.htm on line 165
Warning: include() [function.include]: Failed opening '/home/virtual/circulationadmin/new/info/comment_index.php' for inclusion (include_path='.:/usr/local/php/lib/php') in /home/virtual/circulationadmin/new/info/case/200910/case200910.htm on line 165
|
|
|